Periodontics is the dental speciality which involves surgical and non-surgical periodontal management of the hard and soft (gum) tissues that support the teeth. This includes the reconstruction of soft tissue and bone deficits (tissue recession), often referred to as 'plastic surgery for the gums'.


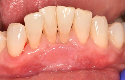
This occurs in many adults, where teeth lose their soft tissue and bone support, leading to tooth sensitivity, unsightly gaps between teeth, root decay and even loss of teeth. Routine gum (periodontal) treatments, eg tooth and root scaling, are performed by general dentists and hygienists. However, there are very few specialists in periodontics – these are dentists with additional training and qualifications in the provision of advanced gum treatments and dental implants.
Non-surgical treatments include deep cleaning of infected gum tissues. Surgical work, the ‘plastic surgery of dentistry’, involves tissue grafts to reconstruct lost soft tissues (for severe gum recession), cosmetic sculpting of the gum and bone tissues, plus all aspects of dental implantology.









Dr Emiliano is a member of several implant and periodontal academies, and is a mentor for the Implant Dental Association.
He works in several prestigious London clinics and has taught for many years on the Masters Postgraduate Periodontology (University of London) course at both the Eastman Dental Institute and Guy’s Hospital.
Dr Zanaboni undertakes both surgical and non-surgical aspects of specialist periodontal (gum) treatment. He has a particular interest in the management and reconstruction of soft tissue deficits, eg tissue recession.

Dr Makropoulos graduated from the University of Thessaloniki, Greece in 2014. He subsequently spent a year in the Greek Military (Special Forces Unit) working as a dentist and gained further experience for a year in general dentistry in a private practice in Greece. Tilemachos then relocated to the UK where he practised general dentistry for three more years.
Since 2020 Tilemachos has also been working in private practice limited to periodontics and he now limits his practise to Periodontics and Implant Dentistry.