Orthodontics is the dental speciality which focuses on the diagnosis & treatment of abnormal positions of the teeth & jaws eg crooked teeth, abnormal bites and mismatched jaw sizes.
Expertly provided orthodontic treatment has provided huge improvements for our patients in terms of enhancing their confidence, chewing function, dental hygiene, and overall quality of life.
In a nutshell, the benefits are literally much broader than just straightening the front teeth!


In theory, any dentist in the UK is permitted to ‘do’ orthodontics, on the assumption that they practice within their competence. However, undergraduate education only exposes dental students to basic orthodontic theory and simple techniques, so a detailed knowledge of orthodontics is only obtained through three years of full-time specialist training. Weekend courses run by sales-driven commercial companies (eg InvisalignTM) are no substitute!
In the UK, the academic and clinical training to become an orthodontist is closely supervised in accredited teaching hospital posts and quality-assured by the Royal Colleges of Surgeons. Specialists may be recognised by the resultant MOrth RCS or FDS (Orth) RCS qualifications and inclusion on the General Dental Council's list of orthodontic specialists (gdc-uk.org).
Orthodontics at the Priestgate Clinic is provided by specialists (not general dentists), supported by an orthodontic therapist & trained orthodontic nurses.
We provide clinical care tailored to each individual's circumstances & smile aspirations. We do this using the latest techniques & research evidence.
To us, professionalism involves guiding each patient through their choices & aiming for the best possible result. We don't simply sell products or types of braces, and we don't offer unproven gimmicks or hollow enticements (like a free 'consultation').
You may be surprised that benefiting from our expertise & first class technology doesn’t mean higher fees than elsewhere, because our treatments are highly focussed & clinically efficient.


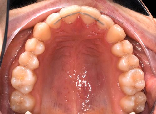
Every orthodontic treatment is followed by retainers to prevent relapse (where teeth become crooked again). For us, retention is an integral and long-term consideration, not a brief after-thought.
Quite simply, why invest in your smile for it to unravel afterwards?
Ironically, the quicker the treatment then the greater the relapse risks since the oral tissues haven't had time to adapt. Therefore, the best long-term control typically requires a combination of both transparent plastic retainers & discreet bonded wires (shown here on the rear surfaces of the front teeth).



















Orthodontics is a very valuable investment, which we price individually in a fair & transparent manner. In particular:
Clinical innovation is what makes us tick! That's why we've been the first UK practice to introduce a whole range of 3D technical innovations & clinical improvements over the last few years, to truly benefit our child & adult patients.
Drs Taloumtzi & Cousley work closely together to ensure that every patient receives the best possible orthodontic care, using the most advanced techniques available.
