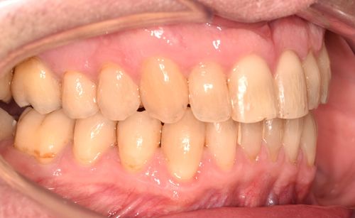
This man was concerned at the wear on his teeth, caused by his bite problems, and also didn't like showing his teeth.
His treatment involved aesthetic fixed braces, without the loss of teeth, followed by a short phase of finishing aligners. We're one of the few dental clinics to have the expertise and facilities to offer this combination at cost effective prices, providing huge benefits for our patients.
Even years of Invisalign couldn't do this! So please contact us if you're interested in a truly professional expert assessment of your options.









